Day Surgery Arthroplasty
Posted in Dr Kaushik Hazratwala Blogs
on Saturday, 03 January 2026
by Kaushik Hazratwala
Tags daysurgeryarthroplasty | erasprotocol | townsvilleorthopaedicsurgeon
Introduction
Elective joint replacement surgery in the Australian public hospital system has traditionally been associated with long inpatient stays, averaging 5–6 days, followed by 7–10 days of inpatient rehabilitation. This model is costly, inefficient, and contributes to extended wait times for patients. With the projected rise in joint replacements—276% for knees...
A Case for Conscious (awake) regional Anaesthesia
Posted in Dr Kaushik Hazratwala Blogs
on Saturday, 05 September 2020
by Kaushik Hazratwala
Before your joint replacement surgery, A/Prof Kosh will discuss anaesthesia with you. The selection of anaesthesia is a major decision that could have a significant impact on your recovery. It deserves careful consideration and discussion with A/Prof Kosh and your anaesthetist.
Several factors must be considered when selecting anesthesia, including:
Your past experiences and...
Posted in Dr Kaushik Hazratwala Blogs
on Sunday, 23 February 2020
by Kaushik Hazratwala
Attached video explains simply what osteoarthritis is and how it manifests as a painful condition.
MTF- Musculoskeletal Tissue Foundation
Posted in Dr Kaushik Hazratwala Blogs
on Tuesday, 24 September 2019
by Kaushik Hazratwala
Ever wondered why you have to give up one body part in order to reconstruct another. This is because donated tissue are either weaker or may carry a risk of disease transmission.
An American company MTF Biologics (https://www.mtfbiologics.org) who have been supplying allograft (donor) tissue in the USA for the last 30yrs have finally received approval for there products to be brought to...
A new programme offered by QLLC for Hip and Knee Replacement Patients.
Posted in Dr Kaushik Hazratwala Blogs
on Sunday, 25 August 2019
by Kaushik Hazratwala
Queensland Lower Limb Clinic is offering all eligible Bupa, HCF, NIB and AHSA fund members who are scheduled for knee or hip replacement surgery, a dedicated Patient Partner to design and deliver a rehab program personally tailored for you in your own home, at no additional cost. The Patient Partner pathway is prescribed by Dr Hazratwala, and allows your progress after your surgery to be...
My Time in Papua New Guinea
Posted in Dr Kaushik Hazratwala Blogs
on Saturday, 10 August 2019
by Kaushik Hazratwala
I went to PNG to help my colleague and friend Dr Desmond Soares with his initiative - the Pacific Island Orthopaedic Association. This initiative took birth way back in 2012. Dr Soares who in his former life before becoming an Orthopaedic Surgeon worked in Nepal looking after Leprosy patients. He returned to Australia in the late 90's and trained as an orthopaedic surgeon in...
Posted in Dr Kaushik Hazratwala Blogs
on Sunday, 03 March 2019
by Kaushik Hazratwala
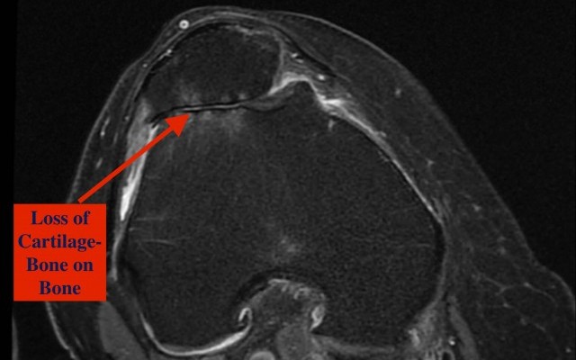
If you’re thinking about having knee replacement surgery, you’re in good company. Every year, more than a 55000 Australians opt for the procedure.
Many people have knee replacements (also called knee arthroplasty) because they have osteoarthritis. This condition occurs when the cartilage (tissue) that cushions the knee joint wears away. As a result, bone...
An Excellent Surgeon Knows when NOT to Operate!!!!!!
Posted in Dr Kaushik Hazratwala Blogs
on Tuesday, 05 February 2019
by Kaushik Hazratwala
"A Good Surgeon Knows How to Operate' ...
Posted in Dr Kaushik Hazratwala Blogs
on Sunday, 25 November 2018
by Kaushik Hazratwala
Patellofemoral arthritis affects the underside of the patella (kneecap) and the channel-like groove in the femur (thighbone) that the patella rests in. It causes pain in the front of your knee and can make it difficult to kneel, squat, and climb and descend stairs
Patellofemoral arthritis occurs when the articular cartilage along the trochlear groove and on the underside of the patella wears...
Smoking and Obesity are the major risk factors
Posted in Dr Kaushik Hazratwala Blogs
on Tuesday, 16 October 2018
by Kaushik Hazratwala
Like training for a marathon, ‘training’ for surgery by getting your body in better shape may lessen the risk of complications during your surgery and improve your post-surgery recovery.
If you have surgery that requires you to receive a general anaesthetic, your body will be placed in a drug-induced state during which you will not respond to any stimuli such as pain. ...
Antero-Lateral Ligament Augmentation to ACL reconstruction.
Posted in Dr Kaushik Hazratwala Blogs
on Monday, 08 October 2018
by Kaushik Hazratwala
The anterolateral ligament(ALL) is a ligament on the lateral aspect of the human knee, anterior to the fibular collateral ligament. Perhaps the earliest account of the ALL was written by French surgeon Paul Segond in 1879, in which he described a ligamentous structure between the lateral femur and tibia.
The ALL, which has been suggested to occur in at 33-97% of...
instructional Video
Posted in Dr Kaushik Hazratwala Blogs
on Saturday, 06 October 2018
by Kaushik Hazratwala
The Role of the Doctor, the Insurer and Medicare!!!!!!!!
Posted in Dr Kaushik Hazratwala Blogs
on Saturday, 29 September 2018
by Kaushik Hazratwala
One of the most important components of hospital insurance is the cover for medical services expenses during hospital treatment.The cover provided by different funds delivers different outcomes for patients. There is essentially 3 types of Billing structure from your service Provider (Usually specialist in-hospital stay) Note- Health insurance does not cover outpatient service e.g. consult,...
Home Made Continuous Passive Motion (CPM) machine
Posted in Dr Kaushik Hazratwala Blogs
on Wednesday, 19 September 2018
by Kaushik Hazratwala
A Patients Husband made this home made hand operated device after seeing it used in Hospital. This is usually a very expansive machine , power operated and usually very sophisticated. However this hand made version serves all the same function as it automated counterpart at probably 1/100th the cost. GENIUS how it rehabs the knee whilst working out the arms and the upper body.
Complications of Knee Replacement Surgery
Posted in Dr Kaushik Hazratwala Blogs
on Monday, 10 September 2018
by Kaushik Hazratwala
Most knee joint operations are problem-free but about 1 person in every 20 may have complications. Most of these complications are minor and can be successfully treated.
The risk of complications developing will depend on a number of factors including your age and general health. In general, a younger patient with no other medical problems will be at a lower risk of complications.
It's...
The use of Regional Administration of Prophylactic Antibiotics in Total Knee Arthroplasty
Posted in Dr Kaushik Hazratwala Blogs
on Tuesday, 28 August 2018
by Kaushik Hazratwala
Click link below-
https://www.researchgate.net/publication/327262289_The_use_of_Regional_Administration_of_Prophylactic_Antibiotics_in_Total_Knee_Arthroplasty
A single doctors narrative View. Published in Australian Doctor Magazine
Posted in Dr Kaushik Hazratwala Blogs
on Thursday, 16 August 2018
by Kaushik Hazratwala
My world fell apart' - doctor describes her blind fear when AHPRA came knocking
Melbourne doctor appeals for a more humane reporting process
16th August 2018
Special Report: Part 1
Each year up to 5,000 doctors will be subject to a formal complaint by a patient. But while relatively common, the emotional fallout is less discussed.
In this two part series Australian Doctor...
Knee and Hip replacement post operative patient care
Posted in Dr Kaushik Hazratwala Blogs
on Saturday, 11 August 2018
by Kaushik Hazratwala
Recovering from hip and knee replacement surgery can be challenging, especially without the help of friends and family members.
For many people, the first few days at home are the most difficult. The person you’re caring for is likely to be tired and in pain. They may be frustrated or scared because it’s difficult for them to get around and do things on their own.
This is when...
Posted in Dr Kaushik Hazratwala Blogs
on Sunday, 29 July 2018
by Kaushik Hazratwala
Tags #computerassistedsurgery | Navigatedkneesurgery | Townsvillecomputerkneesurgeon | Townsvillekneereplacementsurgeon
Computer assisted Surgery (CAS) has now been around for almost 20 yrs. in various forms. With the advent of mechanical execution tools i.e. Robots, the surgical accuracy is excellent. Multiple studies show that computer navigated knee replacements have better alignment and less outliers.1
However most of these studies go on to state that there is no defined statistical benefit to the patient....
Posted in Dr Kaushik Hazratwala Blogs
on Thursday, 26 July 2018
by Kaushik Hazratwala
Tags #hippain | #hipsurgery | #kneepain | #kneesurgery | #townsvillehipsurgeon | #townsvillekneesurgeon
Obesity is major problem facing our affluent society. In 2014-2015, a staggering 63.4 percent of Australian adults were overweight or obese -- well over half of our nation's population. That's almost two in three adults. This is an increase from 1995, which was 56.3 percent, illustrating that the problem is getting worse.
Orthopaedic surgery deals with the treatment...