Adult Revision Hip and Knee Replacements
(Previously Failed Or Painful)
As the name suggests, this is revisiting the previous surgery. Most modern day Hip and Knee Replacement Surgery should predictably last for 10-15 years. At 10-15 years, depending on the level of use, the bearing surfaces will wear and the replacement will fail. There is a need to redo the surgery to alleviate the pain from loose implants toggling within the bone or sitting on top of the bone. Every time a replacement fails, the patient loses bone stock into/onto which new prosthesis can be sat. Modern techniques and implants make this possible but the outcome of revision surgery is never as good as the primary surgery. There are three factors in general that govern the survivorship of replacement:
- The design and material of the implant
- The Host (which is the patient bone and tissue quality)
- The surgical technique and execution
Two out of the three factors mentioned above are within the control of the surgeon. The first surgery is your best surgery. It is of paramount importance that you choose your surgeon well. Ask your surgeon all the questions you may have in order to feel informed and comfortable. There is no shame in asking your surgeon how many of these operations does he do in a year. Most high volume surgeons would have a database and should be able to give you a print out of their caseload and complications. Every surgeon has complications. It is the very nature of surgery. A good surgeon learns from his/her complications and endeavours to eliminate them from his/her practice. When having replacement surgery performed, choose your surgeon very carefully. That is one of the most important decisions you will make in your life. Do not compromise. If you are not happy, seek a second opinion.
-
https://orthoinfo.aaos.org/en/treatment/revision-total-hip-replacement/
-
https://orthoinfo.aaos.org/en/treatment/revision-total-knee-replacement/
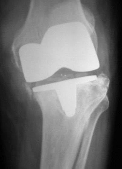
Failed TKR
Revised TKR
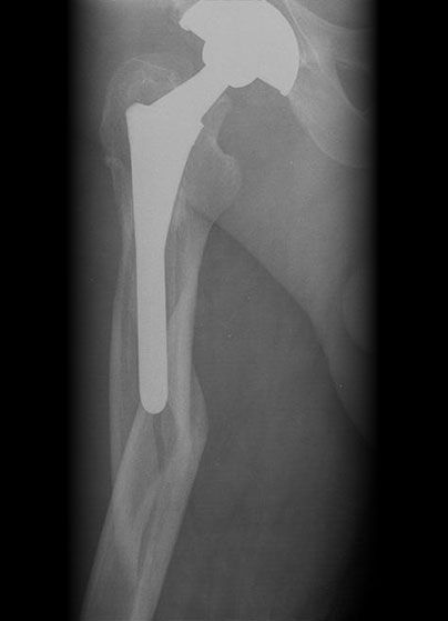
Failed THR
Revised THR
Sub-Menu
- Adult Total Hip Replacements
- Hip Resurfacing Arthroplasty
- Adult Total Knee Replacements
- Adult Revision Hip And Knee Replacements
- Unicompartmental Knee Replacement
- Anterior Cruciate Ligament Reconstruction
- Ankle Reconstruction
- Foot Disorders
- HTO (High Tibial Osteotomy)
- Lower Limb Trauma
- OATS (Osteochondral Autologous Transplantation Surgery)
- Trochanteric Bursitis Surgery
- Knee Arthroscopy
- Surgery for Patella Instability
- Bone Tendon Bone Allograft ACL Reconstruction