Dr Kaushik Hazratwala Blogs
Townsville surgeon wants health providers enforce smoking laws
Posted in Dr Kaushik Hazratwala Blogs on Friday, 23 March 2018 by Kaushik Hazratwala
OLIVIA GRACE-CURRAN, Townsville Bulletin March 20, 2018 12:00am SMOKERS are being urged to consider others and heed signs discouraging smoking near public and private health facilities. Smoking is prohibited within 5m of all public and private health facilities in Queensland. A Townsville orthopaedic surgeon is hoping local health providers consider driving an initiative to enforce the...Computer Navigation is for the Outliers!!!!!!
Posted in Dr Kaushik Hazratwala Blogs on Saturday, 27 January 2018 by Kaushik Hazratwala
By Dr Kaushik Hazratwala, Orthopaedic Surgeon, Director – Orthopaedic Research Institute of Qld Director – Townsville Lower Limb Clinic Finally, after 15 yrs. this Korean group has proven that Computer Navigation will not improve patient outcome in all comers. The proponents of conventional Knee replacements will rejoice in this publication and uncork expensive French...Platelet Rich Plasma (PRP) - Latest Evidence or Lack of !!!
Posted in Dr Kaushik Hazratwala Blogs on Tuesday, 03 October 2017 by Kaushik Hazratwala
This is an abstract from the recently published review article in the American JBJS. It summarises the current application of the use of PLATELET RICH PLASMA in clinical orthopaedics. There is support for its use in knee Arthritis but there is not enough evidence for routine use in soft tissue injuries. Read: Who is more likely to have anterior patella pain (knee cap)? "Platelet-rich...Who is more likely to have anterior patella pain (knee cap)?
Posted in Dr Kaushik Hazratwala Blogs on Friday, 29 September 2017 by Kaushik Hazratwala
The patella is located anterior (in front) of the femur in the femoral trochlear groove, and “tracks” along this groove depending on how the knee is bent. Patellar instability and pain can happen to anyone once the patella begins to move incorrectly. Most commonly, pain in the front of the knee occurs in: Athletes involved in sports with repeated running or jumping People employed in...How old is too Young for Hip and knee arthroplasty
Posted in Dr Kaushik Hazratwala Blogs on Friday, 22 September 2017 by Kaushik Hazratwala
Nearly every day I consult I would see a patient in their 40's or early 50's with bone on bone arthritis of the knee and less commonly the hip. Unfortunately, the easiest operation for me to perform on these patients is a total joint replacement (Arthroplasty). Why?- Because the surgery has predictable results including pain relief. However, is this the morally, ethically and scientifically...Issues to consider with health insurance in Australia
Posted in Dr Kaushik Hazratwala Blogs on Friday, 22 September 2017 by Kaushik Hazratwala
Health insurance issues in Australia - Dr Kaushik Hazratwala One of the most important components of hospital insurance is the cover for medical services expenses during hospital treatment.The cover provided by different funds delivers different outcomes for patients. There is essentially 3 types of Billing structure from your service Provider (Usually specialist in-hospital stay) Note-...Alternate Alignment Technique for Total Knee Replacement
Posted in Dr Kaushik Hazratwala Blogs on Friday, 22 September 2017 by Kaushik Hazratwala
Alternate alignment is gaining popularity amongst orthopaedic surgeons. The alternate alignment principal for total knee is based on the gap balancing principal, allowing the medial and lateral soft tissue envelope to remain at their native lengths.12 It is an anatomical tibia 1st technique with subsequent femoral cuts to balance the knee within its native soft tissue envelope, Compared to...Lateral Hip Pain (Outer)
Posted in Dr Kaushik Hazratwala Blogs on Friday, 15 September 2017 by Kaushik Hazratwala
The most common reason for Lateral (outer) hip pain is Trochanteric Bursitis. This is inflammation of the trochanteric bursa. This bursa is at the top, outer side of the femur. It has the function of working as a shock absorber and as a lubricant for the movement of the muscles adjacent to it, especially the Ilio-Tibial Band (ITB). This is a strong sheet of tissue that runs from the Pelvis...Chronic Ankle Instability
Posted in Dr Kaushik Hazratwala Blogs on Monday, 11 September 2017 by Kaushik Hazratwala
Chronic ankle instability is a condition characterized by a recurring giving way of the outer (lateral) side of the ankle. This condition often develops after repeated ankle sprains. Usually, the giving way occurs while walking or running on uneven surfaces or sloped surfaces. Most people who suffer an ankle sprain will recover with Physio and retraining. A select small number go on to develop...5 Steps to Finding the Perfect Life after Knee Replacement
Posted in Dr Kaushik Hazratwala Blogs on Tuesday, 15 August 2017 by Kaushik Hazratwala
Total knee replacement has a very high success rate in relieving pain and bearing upon the ability to mobilize. Overall, 95% of these operations are highly successful and we know that at 10 – 15 years after the surgery 95% are still working very comfortably. In general, the knee replacement will last longer in older and lighter people. 1. Care your knee after knee replacement It will take...Is Hip replacement the best option for hip pain?
Posted in Dr Kaushik Hazratwala Blogs on Saturday, 05 August 2017 by Kaushik Hazratwala
If you are suffering from a hip pain for a long time. You should consult with your nearby orthopaedic surgeon who is a specialist in hip replacement. Because instead of suffering from pain, it is beneficial to go for surgery. Dr Kaushik Hazratwala - Hip Replacement Specialist Surgeon According to Dr Kaushik Hazratwala, Hip Replacement surgery is recommended when: Inadequate pain...Early Mobilisation reduces the risk of complications in Ankle Fracture Fixation Surgery
Posted in Dr Kaushik Hazratwala Blogs on Friday, 21 July 2017 by Kaushik Hazratwala
Ankle fractures can occur during sporting activities, or as a result of a fall. Fractures can occur in the tibia, fibula or a combination of both, and damage can also involve the ligaments of the ankle joint. Depending on the type and location of the fracture, surgery may be required. Dr Kaushik Hazratwala - Ankle surgery specialist Depending on the success and stability of the...Orthopaedic Research Institute of Queensland (ORIQL)
Posted in Dr Kaushik Hazratwala Blogs on Wednesday, 19 July 2017 by Kaushik Hazratwala
Orthopaedic Research Institute of Queensland (ORIQL) is a Health Promotions Charity organisation formed by Myself, Dr Peter McEwen, and Dr Matthew Wilkinson. Our aim is to promote musculoskeletal research here in North Queensland. We are affiliated with JCU, The Townsville Hospital and The Mater Hospital. If you have any queries regarding our research projects or would like to get involved in...Know all things about Knee Replacement Surgery Procedure.
Posted in Dr Kaushik Hazratwala Blogs on Wednesday, 19 July 2017 by Kaushik Hazratwala
If you are considering a Total Knee Replacement or are having one soon, this video will help you understand what the surgeon will be doing. I should clarify that I no longer use rods inserted into the tibia and the femur as I use computer navigation. I do use bone cement to fix the implants to your bone. My patients usually stay in the hospital for 2 days and are walking the same day of the...Total Knee Replacement vs Resurfacing
Posted in Dr Kaushik Hazratwala Blogs on Wednesday, 19 July 2017 by Kaushik Hazratwala
With the invent of new surgical techniques and instruments Knee Replacements can now be performed almost like Resurfacing. Taking as little bone as possible and resurfacing it with the equal amount of metal and plastic. Total Knee Replacement vs resurfacing The attached picture is from a knee arthroplasty I performed today. This is the actual picture of the bone cuts I performed on the...Baker's Cyst of The Knee
Posted in Dr Kaushik Hazratwala Blogs on Sunday, 16 July 2017 by Kaushik Hazratwala
A Baker's cyst is a fluid-filled cyst that causes a bulge and a feeling of tightness behind your knee. The pain can get worse when you fully flex or extend your knee or when you're active. Image courtesy - Mayo Foundation Read: 5 Steps to Finding the Perfect Life after Knee Replacement A Baker's cyst is usually the result of a problem with your knee joint, such as arthritis or a...Bilateral (2) Hip and Knee Replacements
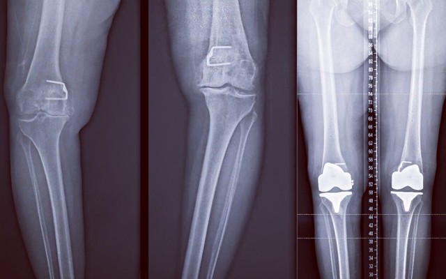
Posted in Dr Kaushik Hazratwala Blogs on Friday, 07 July 2017 by Kaushik Hazratwala
Many patients suffer from arthritis in 2 large joints at the same time that require joint replacement. Patients usually think that having 2 large joints replaced at the same time would require prolonged rehabilitation and increased pain. THIS IS NOT TRUE. Nowadays with advanced surgical techniques and postoperative pain relief protocols, patients are only a day longer in hospital, and...ACL rupture and associated structural injuries of the knee
Posted in Dr Kaushik Hazratwala Blogs on Monday, 19 June 2017 by Kaushik Hazratwala
The ACL (anterior cruciate ligament) is part of a complicated network of ligaments that help stabilise and hold the knee. These structures are especially vulnerable to injury during sporting activity or as the result of direct impact. ACL rupture is often associated with meniscal and medial ligament injury. This combination is known as a the “terrible triad” of knee injuries. Knee...Alternate Knee Alignment Technique - Dr Kaushik Hazratwala
Posted in Dr Kaushik Hazratwala Blogs on Wednesday, 14 June 2017 by Kaushik Hazratwala
It is important to understand that there are multiple bony cuts that are delicately balanced with each other so that the knee moves in a balanced fashion on both sides, and the patient does not feel insecure or unstable. I have created my own surgical technique for knee replacement that intricately predicts the ligament balance and accommodates the bony cuts to fit the ligament envelope. I...